Свежие публикации
Алкогольный калькулятор практически без ошибочно определяет количество промилль в крови и время вывода алкоголя из организма
Как снять тягу к алкоголю и через что необходимо для этого пройти? Задача не такая простая, как может показаться, тяга...
Алкогольная кардиомиопатия – это приобретенное заболевание сердца, провоцирующее разрушение структуры клеток мышцы с одновременным расширением камер сердца
Сколько держится алкоголь в крови и моче, и какие факторы оказывают воздействие на быстрое или длительное выведение спиртного.
Бросить пить не так просто, как кажется, ведь процессы в организме человека бросившего пить достаточно страшные и требуют тщательной подготовки.
Беременность и алкоголь, с медицинской точки зрения – равноправно не совместимые понятия.
Капельница при алкогольной интоксикации – это первая скорая медицинская помощь, направленная на выведение отравляющих токсинов из крови пациента
Частое употребление алкоголя наносит очень серьезный вред всему организму человека. Нужно восстановить организм после алкоголя и продолжить нормальную жизнь
При появлении первых признаков алкоголизма у мужчины, необходимо сразу же заниматься его лечением.
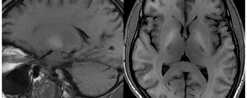
Влияние алкоголя на мозг не пьющего человека, значительно ниже, чем на человека часто находящегося в состоянии опьянения.
Популярные публикации

Об алкоголизме

С проблемой алкоголизма столкнулись многие семьи – «зеленый змий» разрушает карьеру, личную жизнь, заставляет человека деградировать. Не нужно осуждать человека за пьянство, лучше попытаться помочь ему в преодолении пагубной зависимости. Помощь обычно исходит от родственников, которые разными способами пытаются заставить человека изменить свой образ жизни.

Люди иногда ошибочно считают алкоголизм вредной привычкой и путают его с бытовым пьянством. Любой в меру выпивающий человек может стать алкоголиком, поэтому близким людям нужно быть бдительными и анализировать степень увлечения родственника алкогольными напитками.

Алкоголизм — не приговор

Не стоит считать алкоголизм неизлечимым заболеванием. Даже самые сложные и запущенные случаи подвергаются лечению, если правильно выбрать комплекс мер воздействия на психику и физиологию больного. Очаг заболевания находится в голове – если умело затронуть душу больного, то трезвый образ жизни станет для человека нормой.

На начальных стадиях волевые люди могут справиться с болезнью сами, но в запущенных случаях избавиться от недуга без специалистов практически невозможно. Тяжелая болезнь прогрессирует и делает человека рабом бутылки. Все его жизнь строится вокруг добычи средств на очередную дозу выпивки, получение кайфа, мнимого ухода от проблем, борьбы с похмельем с помощью новой дозы.